Hotel Preference
In our treatmentplan pricing, we cover the accommodation and transfer. Our contracted hotel is an aparthotel. If you book your own hotel you can get a 10.000 ₺ discount.
Free Transportation
If you book your own hotel, we can cover your transfers from the airport to the hotel/clinic (up to 60 km away) free of charge.
All Inclusive
If you buy our all-inclusive treatmentplan which exceeds 2000₤, you can benefit from our free transfer services and can stay at our contracted aparthotel close to the clinic.
Ready Plans
Welcome to the Dental Centre of Turkey Antalya. Our dentists are professionals with extensive experience.
In our clinic everything is included: there is a surgeon, dental technician, dentists.
There are 12 clinics in our dental clinic at the same time
ORGANIZATION OF LIVING
STEP 1 : ASKING OF THE ESTIMATE
We find out and encounter your problem
STEP 2 : ORGANIZATION OF YOUR DENTAL TRIP
We organize your hotel, flight and transfer works
STEP 3 : YOUR TREATMENT
All the treatment will be fulfilled during 4-6 days.
(Except for implants)
STEP 4 : CONTROL, GUARANTEE
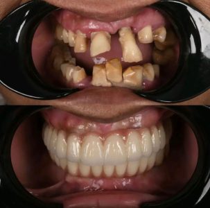
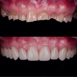
All the prosthetic treatment (crowns, bridge of crowns, veneers) realized in our clinic is guaranteed for 10 years. The implants have a life long guarantee.
OFFER
Hotel
Transfers (airport / hotel / clinic)
Panoramic X-ray, diagnosis
Local anesthesia
Medicine
Temporary crown
Presentation Video

Treatment
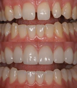
Our main services to our patients with our professional dentists and experienced team
Dental Prosthesis Removable
REMOVABLE DENTAL PROSTHESIS Removable dental prostheses, also called removable dentures, are removable teeth made instead
Bone Graft, Surgery
Sinus Lifting and Bone Graft With the developing technology, the solutions produced in the field
Whitening And Veneers
Teeth Whitening Process The tooth whitening process with zoom has a permanence of 2 to
Dental Implant
Dental implants create a natural tooth feeling in the mouth and ensure that you have
Dental Crown
You will get the smile you dream of with crown treatment! What is Dental Crown
Our Certificates
Our clinic, which has proven its success globally, is the reliable address of those who want to restore their dental health and have a perfect smile.

Accredited Clinic
Our clinic is approved by the Turkish Ministry of Health for the Health Tourism.

TURSAB
There is a certificate of the Association of Turkish Travel Agencies.

Quality Management
We are the only policlinic in Turkey with an NQA ISO 9001:2015 certification from.

Turk Patent
We have an official trademark patent in the Turkish patent institute.

















